医院动态

名医 | 特诊科专家王辉主任:微笑是一剂良方,专业是一种态度!

2018-11-02

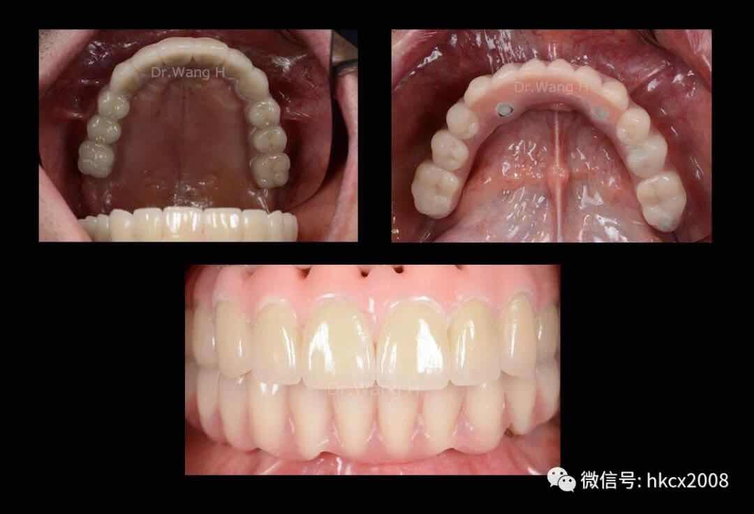
 “30年来就没有吃过苹果,今天终于可以吃了!很激动!很开心!真的要谢谢王医生,也要谢谢王医生团队的医生和护士!每次给我看牙都很细心,服务也周到!”

 
说这番话的是,来自福建的张老师,在杭州口腔医院城西院区特需专家科王辉主任团队402诊室顺利完成全口种植牙修复。
 
 
 
 
 
 
 
 
张老师离开时,感激的握着王辉主任的手,一再表示感谢。
这一幕,和诊室里挂着的镏金锦旗、书法墨宝相得益彰。
 
 
 
 
上图中身穿白大褂,和张老师同样灿烂微笑、露齿开怀的就是本期的【明星医生】——
 
特诊专家科王辉主任
 
 
行 | 精诚医道
 
 
这位自称是“辉蜀黍”的“非著名牙医”,喜欢专业,亦爱人文,幽默亲和,带领他的诊疗团队凭着专业技艺、优质服务为患者打造健康笑容的同时,更是赢得患者的阵阵好评。诊室、办公室墙上患者馈赠的墨宝和锦旗可见一斑。
 
 
其中就有跟随王辉主任看牙十多年的陈老先生送的锦旗。
陈老先生虽在2016年就卖掉市区的房子,搬到郊区,住的很远,但仍坚持来王辉主任处看牙,还笑谈让王辉主任“保护他的牙到103岁。”
 
 
 
亦医亦友,医患信任,有时可以促成世间最真诚的友谊。
 
信奉“好的临床诊疗计划源于良好的沟通”的王辉主任,更是在诊室的板书上边画边耐心解说,一片精诚之心为患者答疑解惑。
 
 
 
 
求 | 至善医术
 
作为医院四楼特诊专家科的科主任,更是很多实习医生的带教老师,王辉主任在忙于临床服务患者、带教新人的同时,更是让自己一直保持在“充电”状态。
 
 
 
 
 
 
“目前是德国法兰克福大学口腔种植硕士在读中。”王辉主任介绍说,“医生是一个需要终身学习的职业,只有不断学习新的医疗理念、医疗技术,才能有更大的才力去服务于病患。”
 
工作学习的闲暇之余, 王辉主任也会组织科室小伙伴们开展团建活动。“工作时候是个大人,玩起来像个孩子”——这是团队美小护对王辉主任的评价。
 
 
 
遇到休息天,王辉主任也会带孩子打羽毛球,陪家人享受难得的亲子时光。
 
 
 
 
 
 
从武汉大学毕业到杭口工作至今,谈及这十几年来的从医感受,平时喜欢道德经、易经一类古典文学书籍的王辉主任感言,“爱读古书的习惯,让我在看牙的过程中,收获很大。”
 
 
“十多年的工作经历,让我们意识到,每一颗牙齿都有生命。刚上班的前几年,我会把人当成牙来看;现如今,我们觉得,应该把牙当成人来看。”
 
 
 
 
王辉主任解释道,“把患者当做一颗牙来看,就觉得没有生命;如果把一颗牙当做人来看,就有生命。如此一来,更多的将会自然而然的倾注入人文的尊重与关怀,让临床工作变得更加温暖而生动。与患者之间的距离就会更近,治疗的结果有时候可能会超过预期。”
 
 
“有幸能成为牙医,也有幸为他们看牙。每一张与患者开心的合影,都是他们美丽笑容的定格。美没有极限……也预示着我和我的团队要更加努力,用更精尖的专业技术和更用心的优质服务为患者留住这份健康和美丽。”