医院动态

患者说 | “他拯救了我的‘兔子牙’”

2022-04-14

幸福莫过于一句谢谢


一个好的牙科医生,能给与患者的不仅仅是一口好牙,更有彼此的信任和默契,舒适轻松的就诊环境,如朋友般的深厚友谊。


年轻的周女士与我院特诊科林唐达医生的友谊就是缘与此。


早在2017年,周女士因为蛀牙在外院进行开髓治疗未果后,在朋友的介绍下,来到了林医生这里。这一面开启了他们之间5年的缘分。


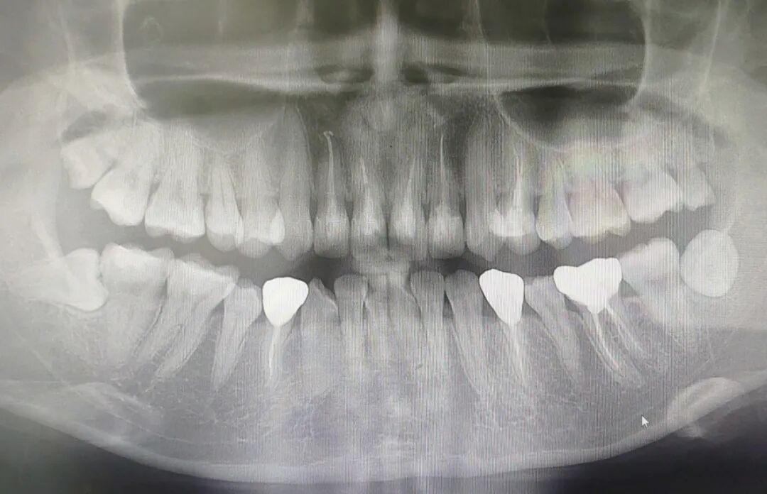
由于周女士之前日常没有做好清洁牙齿的工作,再加上本身就较容易蛀牙,第一次找到林医生的时候,已经有了不少龋齿,其中四颗已经转为慢性牙根尖周炎,需要做根管治疗。


也是因为她对林医生的信任,尽管在外面有不愉快的体验,初识周女士还是选择一次性做了四颗牙齿的根管治疗。


然而这次,没有让她失望,第三次复诊的时候已经戴好了牙套,恢复了牙齿的咀嚼功能。


至从有了第一次愉快的看牙经验后,周女士就成为了林医生的常客。第五颗,第六颗,第七颗,第八颗……从2017到2022,周女士不仅自己一直在林医生这里治疗她的牙齿,还带来了不少她的好朋友。


李女士就是她带来的朋友之一。


与周女士需要根管治疗不同,李女士的前牙之前外院修补的材料反复脱落,已经重复补了多次,一直没有彻底解决问题。


这个困扰她很久的问题同样在林医生这里得到了彻底解决。


针对李女士前牙修补材料易脱落和其中一个门牙扭转,林医生选择通过做牙冠的方式一次性解决,同时还补好了她其余牙齿的龋坏部分。


这一次,李女士再也不用担心她的“兔子牙”了!


林医生拯救的前牙可不止于此。


如果前牙已经变成“小黑牙”,在他手里,照样能让“时光倒流”。来看这个前牙牙缝蛀牙的例子。一带二的伤害,再拖下去就是两颗牙甚至三颗牙的“命”,看林医生如何把它们变回“小白牙”。


一段良好的医患关系往往从第一次见面开始,第一次把病痛完全交给医生负责,第一次的彼此信任。它像树,悉心维护,总会长出繁复的枝丫,开出茂盛的花。