2022-06-10
父母的世界很小,只装满了我们。我们的世界很大,常忽略了他们。我们日夜与他相伴,或许脑海中还是停留着父亲年轻时的模样。然而当我们成家立业之后,仔细端详他的模样,岁月的印记早已“爬”满了他的脸庞,鬓间的白发,满脸的皱纹,还有掉落好久,咀嚼不便的满口残牙。
白发可以掩盖,缺牙却日夜困扰老年人的生活。我们会渐渐发现父母吃饭开始“挑剔”,面对琳琅美食却常常食不知味。这可能是牙齿在“作怪”!长期缺牙往往与严重的牙周炎、牙齿松动、牙疼相伴。而这些问题,大部分老年人都只会默默忍受,放在心里。
实际上中老年人面对长期缺牙问题更需要重视,需要及时修复。牙齿是健康的“基石”,有了一口好牙,能够好好的饮食。有了足够的营养摄入,日常饮食有了愉快的心情,才能愉快的安享晚年生活。
口腔健康、全身健康,70岁的高大伯对此深有体会。尽管缺牙多年,他并没有选择修复,而是放任牙齿日渐松脱。长久以来,他不良的咀嚼习惯,伴随着严重的牙周炎,原有的残牙已经无法好好地行使咀嚼功能,这让他吃东西越来越费劲。伴随着吃的东西的种类减少,高大伯的体重下滑的也非常明显,无奈之下,经过朋友的介绍,去年4月他找到了城西院区李小凤院长。
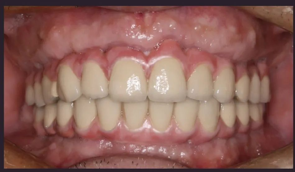
经过前期检查、术前评估后,李院长决定给高大伯进行牙齿种植。针对牙齿缺失的问题,种植牙是口腔医学界公认为缺牙修复的理想方式,被誉为“人类的第三副牙齿”。因为更接近天然牙,高大伯选择了全口种植牙。
根据高大伯的情况,整个全口即拔即种即修复种植牙过程分为三部分,在5月初李院长给他进行了上半口种植牙手术,5月中旬进行下半口种植牙手术。就在今年的4月,高大伯终于换下了临时牙,戴上正式牙,完成全部种植过程。
来复诊时,高大伯“圆润”了不少,明显感觉到人也胖了,气色也好了不少。“东西都可以吃了,而且吃的时候牙齿没有不舒服的感觉。前几天我还买了两只螃蟹,螃蟹这么硬牙齿照样好吃。牙齿可以吃东西了,好的东西都要吃一吃。原来这个不能吃,那个不能吃,现在牙齿好木佬佬了”。
事实上,像高大伯这样的情况时有发生。根据第四次全国口腔健康调查,65岁~74岁老人当中,86%存在牙缺失。很多临床经验也证明,牙齿缺失越久、缺失数目越多、修复越晚,修复效果就会越差,对身体健康的影响也越大。所以,不要以为缺牙是“小事”,一定要及时去检查和修复。从咀嚼功能的回复程度,日常维护的便捷程度等来说,种植牙是个不错的选择。

优惠时间
即日起 - 2022年6月30日
报名方法
识别下方二维码添加企微客服咨询报名